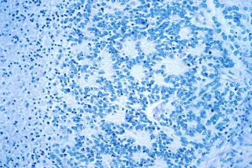
This December 1993 microscope photo provided by the National Cancer Institute shows a typical neuroblastoma with rosette formation. In a study published Wednesday, April 5, 2023, in the New England Journal of Medicine, a novel treatment, CAR-T cell therapy, using supercharged immune cells, appears to work against tumors in children with the rare kind of cancer. (Dr. Maria Tsokos/National Cancer Institute via AP)